
Soy Karina Tabares Castro, odontóloga especialista en Implantología Oral y Reconstructiva, con más de 10 años de experiencia transformando la salud y la calidad de vida de mis pacientes.
Mi enfoque está dirigido a quienes han perdido uno o más dientes y desean recuperar no solo su sonrisa, sino también la seguridad al hablar, masticar y relacionarse.
La estética y la funcionalidad son esenciales en cada tratamiento. Por eso me especializo en implantes dentales que ofrecen estabilidad, duración y resultados armónicos, diseñados para integrarse de forma natural a tu rostro.
Mi prioridad es brindarte un proceso cómodo, cercano y libre de ansiedad, mientras trabajamos juntos en devolverte una sonrisa hermosa y plenamente funcional, muchas veces en cuestión de horas.
Tratamientos
Ofrecemos los siguientes servicios odontológicos en Bogotá
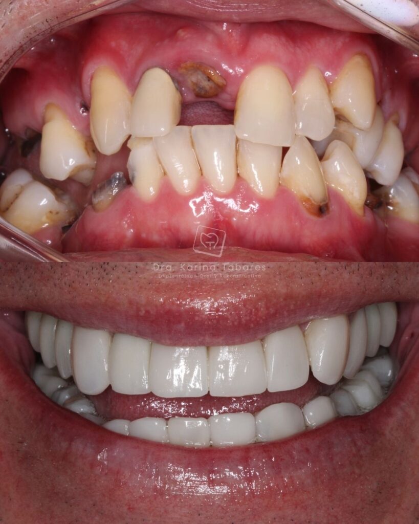
Antes y después
Cientos de pacientes han confiado en el equipo de la Dra. Karina Tabares y hoy comparten experiencias reales que han transformado sus vidas.









